CASOS REALES

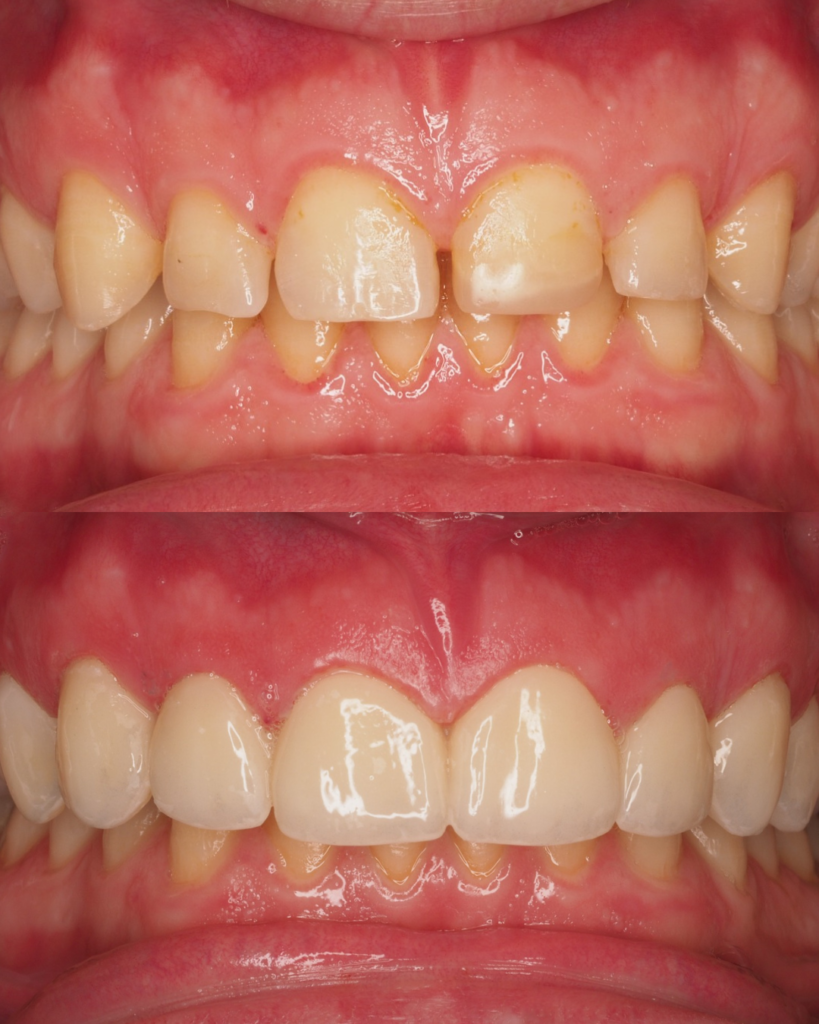
Casos Reales

Antes y Después de casos clínicos planificados con algunos de nuestros dentistas.

8 Coronas Zirconio – Dra. Siham Abanhassan

4 Carillas Composite y Gingivectomía – Dra. Laura Theron

Prótesis all on 6 sobre Implantes Guiados – Dr. José Luis Heredia

8 Carillas Disilicato  Litio – Dr. Fernando Molina